唾液は、ただの消化液ではありません。細菌を抑え、炎症を防ぎ、口の中を守る“天然の防御液”です。その分泌量が落ちると、口の中が静かに荒れ始めます。老けは、ある日突然やってくるのではなく、口の中から少しずつ進んでいくのです。
40代以降で感じやすくなるのが「清潔感の低下」ですが、女性から距離を取られる、キスを避けられる。原因は、(本人は気づいていないかもしれませんが)口臭ということも少なくありません。その背景にあるのが、あまり知られていないキーワード「唾液力」です。
唾液が減ると起きる口内トラブル
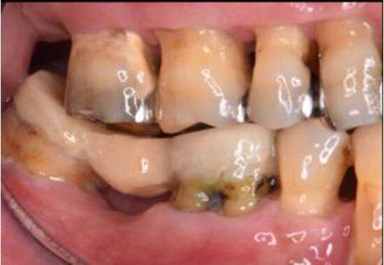
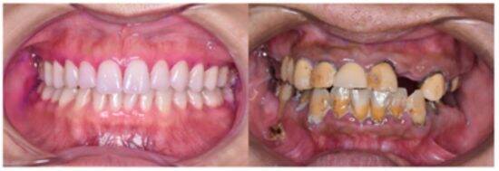
唾液は、口の中の細菌や汚れを洗い流す役割を担っています。減ると、細菌は増殖します。細菌が増えれば炎症が起こりやすくなり、治りにくくなる。その結果、歯周病やむし歯のリスクが上昇し、粘膜も傷つきやすくなります。そして口臭も強くなるわけです。口の中の小さな炎症は、くすぶり続け、やがて血流に乗り、全身へ広がります。体は静かに“さびる”。老化はこうして、目に見えないところから進んでいくのです。
唾液には再石灰化(溶け出した歯を修復する働き)もあります。唾液が減ると、むし歯は一気に進みやすくなります。
唾液は、会話や咀嚼をスムーズにする潤滑液でもあります。唾液が減る生活は、顎を使わない生活でもあり、顎を使わない顔は、輪郭がぼやける原因となります。フェイスラインのもたつきは、筋力低下のサインかもしれません。
唾液は、いわば口の中の“天然の美容液”なのです。
唾液力が落ちる男の悪習慣
唾液力が落ちている人には、唾液を枯らす悪習慣があります。以下に当てはまる数が多い人は要注意です。・デスクワーク中心で会話が少ない
・早食い
・柔らかいものばかり食べる
・スマホやPCを見ながらの無言の食事
・水分補給が少ない
・ストレス過多
・睡眠不足
・アルコール習慣が強い
・口呼吸の癖がある
・喫煙をしている
思い当たる項目はありましたか。
唾液は、「噛む」「話す」「リラックスする」といった行動によって分泌が促されます。しかし現代男性の生活習慣は、そのすべてを削りやすい環境にあります。
長時間のデスクワークで会話が減り、忙しさから早食いになり、一人でスマホを見ながら無言で食事を済ませる。
さらに、ストレスや睡眠不足、アルコールや喫煙が重なることで、唾液の分泌はますます低下していきます。つまり現代のライフスタイルは、唾液にとって“最悪の環境”ともいえるのです。
唾液力が低下するような生活は、口臭や乾燥だけでなく、見た目が「疲れている」という印象にも直結します。まずは生活習慣を見直すことが、口元の若さを守る第一歩になります。
“唾液力”チェックリスト
今の唾液力はどのくらいか、現在の危険度をまとめました。次の項目にいくつ当てはまりますか。・朝、口がネバつく
・滑舌が悪い
・口の渇きを感じやすい
・水で流し込むように食べる
・乾いた食べ物を避ける
・食後すぐ口臭が気になる
・歯ぐきが腫れやすい
いかがでしょうか。
当てはまる数が多いほど、口の乾燥が進んでいる可能性があります。唾液は自覚がないまま減少していくことも少なくありません。
今日からできる“唾液力”の上げ方
唾液は、特別なサプリメントや高額な機器がなくても増やすことができます。大切なのは、毎日の小さな習慣です。①よく噛む
咀嚼は唾液分泌のもっとも自然なスイッチです。食材にもよりますが、一口30回を目安に噛むだけで、唾液腺はしっかり刺激されます。やわらかいものばかりではなく、噛みごたえのある食材を取り入れることも効果的です。
②鼻呼吸を意識する
口呼吸は乾燥の大きな原因になります。無意識のうちに口が開いている方は少なくありません。日中も就寝中も、基本は鼻呼吸を心がけることが大切です。それだけで口腔内の潤いは守られやすくなります。
③こまめに水を飲む
一度に大量に飲むのではなく、少量をこまめに摂ることがポイントです。水分が不足すると唾液は減少します。
④舌を上あごに置く(舌の筋力低下を防ぐ)
舌の正しい位置は「上あごに軽く触れている状態」です。舌の筋力が低下すると、口呼吸や乾燥につながりやすくなります。姿勢と同じように、舌にも正しいポジションがあります。
⑤唾液腺マッサージ
耳の前下あたり、顎の下内側を梅干しを思い浮かべながら、円を描くように優しく5回ほど揉むことで唾液の分泌が促されます。乾燥を感じたときのセルフケアとしても有効です。
⑥徹底したオーラルケア
歯磨き、フロス、舌の清掃を習慣化しましょう。口腔内の環境が整うと、唾液の質も安定します。細菌の増殖を防ぐことが、潤いの維持につながります。
⑦歯科医院での定期的な検診を受けること
自覚症状がなくても、定期的に専門家のチェックを受けることが大切です。歯石除去や歯周ポケットの確認は、唾液が少なくなると特に起きやすい歯周病やむし歯の予防につながります。
特別なことは必要ありません。
生活を少し整えるだけで、唾液の減少は防ぐことができます。
毎日の小さな習慣が、口元の印象を変え、将来の自分の印象にもつながっていきます。
なぜ“唾液力”は年収や印象に影響するのか?
また、歯周病による慢性的な炎症は体内でエネルギーを消耗させ、集中力や判断力を鈍らせることがあります。ビジネスにおいて、パフォーマンスの質は収入と比例しやすいです。コンディションの差は、そのまま成果の差になるという点からも口を含めた全身の健康は重要なのです。
そして、口元が乾いていると、くすみや縦ジワが目立ち、疲労感や老けた印象を与えやすくなります。潤いは若々しさと清潔感を象徴する要素です。実際、唾液量が十分にある人は口腔環境が整い、自然と爽やかな印象を持たれやすいです。
「口が若い人は、清潔感がある」
これは感覚論ではありません。清潔感は、信頼の前提条件です。信頼があって初めて、人は話を聞き、依頼し、契約を結ぶのではないでしょうか。
唾液は“若さの貯金”
男性のアンチエイジングというと、筋トレやスキンケアに目が向きがちです。
しかし本当に差がつくのは、見えない部分のケア。唾液は、若さを守るための“貯金”のようなものです。減ってから焦るのではなく、減らさない習慣を持つことが重要です。
男の老けは、肌よりも先に口に出る。その鍵を握っているのが、“唾液力”という新常識なのです。
<文/野尻真里>
【野尻真里】
一般診療と訪問診療を行いながら、予防歯科の啓発・普及に取り組んでいる歯科医師です。「一生涯、生まれ持った自分の歯で健康にかつ笑顔で暮らせる社会の実現」を目標にメディアで発信をしています。X(旧Twitter):@nojirimari
![LDK (エル・ディー・ケー) 2024年10月号 [雑誌]](https://m.media-amazon.com/images/I/61-wQA+eveL._SL500_.jpg)
![Casa BRUTUS(カーサ ブルータス) 2024年 10月号[日本のBESTデザインホテル100]](https://m.media-amazon.com/images/I/31FtYkIUPEL._SL500_.jpg)
![LDK (エル・ディー・ケー) 2024年9月号 [雑誌]](https://m.media-amazon.com/images/I/51W6QgeZ2hL._SL500_.jpg)




![シービージャパン(CB JAPAN) ステンレスマグ [真空断熱 2層構造 460ml] + インナーカップ [食洗機対応 380ml] セット モカ ゴーマグカップセットM コンビニ コーヒーカップ CAFE GOMUG](https://m.media-amazon.com/images/I/31sVcj+-HCL._SL500_.jpg)



