2025年9月1日、ロックバンド『ONE OK ROCK』のボーカル、Takaさんが、Instagramを更新。
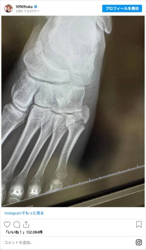
メッセージ動画とレントゲン写真を投稿し、ライブ中に左足を骨折したことを報告しました。
Takaがライブ中に負傷…応援の声続々
『ONE OK ROCK』は、同年8月16日から最新アルバムを携えた全国ツアー『DETOX JAPAN TOUR 2025』を開催中です。
同月30~31日には、神奈川県横浜市にある『日産スタジアム』で公演をおこないました。
初日の終演後にはInstagramで「日産スタジアム。さすがに70,000人の熱気はエグい」と投稿するなど、ファンの熱気に圧倒された様子を伝えています。
しかし、その盛り上がりが最高潮に達した2日目、Takaさんは左足を負傷。
動画では「人生初、公演中に足を骨折しました」と明かし、歌唱中に足を着いた際に左足小指の付け根を痛めたと説明。「ものすごい勢いでぐちゃってなった」とその時の状況を語っていました。
Instagramには、「ポッキリ」と言葉を添えてレントゲンも公開。
今後は北海道、大阪公演を控えており、「正直この後、北海道と大阪があるから…もう悔しい気持ちがいっぱい」と心境を吐露しながらも、「全力でやる」と強い意志を示しました。
これを受け、ファンからは温かい声が続々と寄せられています。
・痛みに耐えてやりきったのは本当にすごい!お大事に。
・プロ根性に脱帽した。
・つらいだろうけど北海道、大阪の成功も祈ってます!
突然のアクシデントにもかかわらず、前を向き続けるTakaさん。その姿勢は、多くのファンに勇気を与えているようです。
北海道や大阪公演でも、『ONE OK ROCK』らしい熱いステージが届けられることを願いたいですね。
[文・構成/grape編集部]

![[のどぬ~るぬれマスク] 【Amazon.co.jp限定】 【まとめ買い】 昼夜兼用立体 ハーブ&ユーカリの香り 3セット×4個(おまけ付き)](https://m.media-amazon.com/images/I/51Q-T7qhTGL._SL500_.jpg)
![[のどぬ~るぬれマスク] 【Amazon.co.jp限定】 【まとめ買い】 就寝立体タイプ 無香料 3セット×4個(おまけ付き)](https://m.media-amazon.com/images/I/51pV-1+GeGL._SL500_.jpg)
![[コロンブス] キレイな状態をキープ 長時間撥水 アメダス 防水・防汚スプレー420mL](https://m.media-amazon.com/images/I/31RInZEF7ZL._SL500_.jpg)







![名探偵コナン 106 絵コンテカードセット付き特装版 ([特装版コミック])](https://m.media-amazon.com/images/I/01MKUOLsA5L._SL500_.gif)