実は、年齢や寝不足だけのせいではありません。連休中は、生活リズムが崩れ、お口のケアや食事習慣が乱れやすくなります。みなさん、お正月中の食生活はどうだったでしょうか。
食事習慣や歯磨きなまけは、特に歯茎の状態に直結します。歯茎が炎症を起こして赤く腫れると、お口は一気に不健康な印象になります。お口が不健康だと、お顔全体の印象がくすんで見え、清潔感が失われます。
「お餅+お酒」が口内環境を一気に老化させる理由
飲食をすると、口内は一時的に酸性に傾きます。この状態が長く続くと、歯の表面では脱灰(歯が溶け出す現象)が進みやすくなり、むし歯のリスクが高まります。
さらに、
お餅:歯にくっつきやすい
お酒:唾液の分泌を減らす
この組み合わせにより、むし歯菌・歯周病菌が活発になり、歯の表面(エナメル質)が弱り、むし歯だけでなく口臭や歯茎トラブルも起こりやすくなります。
野尻先生流・正月明けの「口内リセット習慣」
ここで大切なのは、「頑張るケア」ではなく乱れた習慣を整えること。新年に意識してほしいポイントは3つです。
1.高濃度フッ素で強い歯に
高濃度フッ素配合の歯磨き粉を使った後は、成分が歯に残るように少なめのお水で1~2回のみすすぐのがポイントです。
2.歯間・歯茎ケアを「夜の習慣」にする
ポイントは3つ。
・タイミング:歯磨きの前
歯磨き前に歯間の汚れをしっかりと落としましょう。
・時間:夜は必ず行う
夜間は、むし歯や歯周病が進行しやすい時間帯です。汚れはしっかりとオフしましょう。
・使い方:歯の両側面に沿わせて動かす
(歯の詰まりを取るだけにならないよう注意)
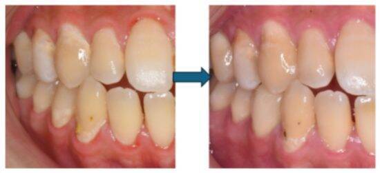
久しぶりにフロスを通して出血したり嫌な臭いがしても驚かないでください。それは歯茎が炎症しているサインです。毎日ケアをし続けることで、早ければ1~2週間で炎症が治まり、出血はなくなり、臭いも消え、引き締まった健康的なピンク色の歯茎に戻ります。もし、治りが悪い場合はすぐに歯科医院で相談をしましょう。
3.プロの検診で「1年の健口」を予約する
去年できなかったことは、今年から少しずつで構いません。
歯間清掃、舌清掃、定期検診のスケジュール化、糖に偏ったお食事、夜のささっと歯磨き……改善しなきゃとわかっていても、行動に移せなかったことはありますか?
新年の始めに歯の検診とクリーニングを受け、清潔な口内環境から1年をスタートするのがおすすめです。検診では、今改善すべきこと、今年習慣化したいことがわかります。
セルフケアを丁寧にすることは大切ですが、プロのケアや検診は必ず必要です。
お口は、栄養・酸素・会話の入り口で、全身の健康に繋がります。今年こそは健康のために生活習慣を整えたいですね。
歯科食育士がすすめる「1月に食べたい、歯を強くする冬食材」
お正月中、お食事が偏っていたり、不規則だった人も多いのではないでしょうか。 お正月明けは、「減らす」よりも「選ぶ」ことを意識しましょう。
規則正しく、栄養価の高いお食事を摂ることで身体が整ってくると思います。 私(野尻真里)は歯科食育士として食事指導も行っているのですが、1月に食べたい、歯を強くする食材を紹介します。
●小松菜
カルシウムが豊富で、歯や骨の材料になります。飲食物によって酸性環境となり溶けだしそうになった歯を修復(再石灰化)するために必要なカルシウム源として有効です。
ビタミンも多く、体調管理にもおすすめです。
●煮干し・しらす
カルシウムとビタミンDが豊富です。噛む刺激で唾液が増え、口内環境が整います。
おやつ代わりにすると、むし歯予防にも。
●大根・ごぼう
食物繊維が豊富。噛むことで唾液分泌が促されます。歯の状態に応じて調理で硬さを調整しましょう。
●味噌・納豆
味噌の乳酸菌は免疫をサポートします。納豆のビタミンK2は歯槽骨の健康維持に重要です。歯周病予防の土台となる食材です。
「一生モノの歯」は、正月明けからつくられる
お正月明けは、生活も口内環境もリセットしやすいタイミングです。
口のネバつき、歯茎の違和感、なんとなく老けた感じが気になる方は、口内からの黄色信号かもしれません。美容室で髪を整えるように、新年に口内をクリーニングする「自分へのメインテナンス投資」と検診で、今年も「健口」で健康な1年を過ごしていきましょう。
<文/野尻真里>
【野尻真里】
一般診療と訪問診療を行いながら、予防歯科の啓発・普及に取り組んでいる歯科医師です。「一生涯、生まれ持った自分の歯で健康にかつ笑顔で暮らせる社会の実現」を目標にメディアで発信をしています。X(旧Twitter):@nojirimari
![LDK (エル・ディー・ケー) 2024年10月号 [雑誌]](https://m.media-amazon.com/images/I/61-wQA+eveL._SL500_.jpg)
![Casa BRUTUS(カーサ ブルータス) 2024年 10月号[日本のBESTデザインホテル100]](https://m.media-amazon.com/images/I/31FtYkIUPEL._SL500_.jpg)
![LDK (エル・ディー・ケー) 2024年9月号 [雑誌]](https://m.media-amazon.com/images/I/51W6QgeZ2hL._SL500_.jpg)




![シービージャパン(CB JAPAN) ステンレスマグ [真空断熱 2層構造 460ml] + インナーカップ [食洗機対応 380ml] セット モカ ゴーマグカップセットM コンビニ コーヒーカップ CAFE GOMUG](https://m.media-amazon.com/images/I/31sVcj+-HCL._SL500_.jpg)



