そう思っている人ほど、確実に“損”をしています。
実は、歯の管理能力と経済状況には、相関があると言われています。
歯の管理が下手な人は「医療費で貧乏になる」
予防歯科を実践している人は、定期検診、クリーニング、初期治療(大ごとになる前に軽く手当するくらいの治療、歯石取りなど)で済みます。
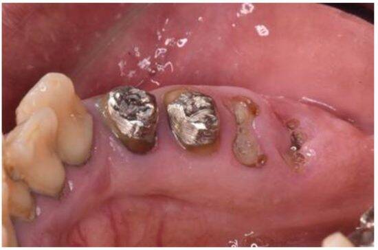
一方、歯の管理が悪い人は、神経に到達するような重度のむし歯、歯周病から、被せ物やブリッジ、抜歯、インプラントや入れ歯になるなど、治療が高額化していきます。
それなのに、お金をかけた分、生まれ持った元のお口よりキレイに機能的になっていくわけではないのです。通院回数を比較しても、治療箇所が多くなればなるほど、時間もお金も取られてしまいタイパが悪くなります。
忙しいプロジェクトの最中に何度も歯科医院に通院したり、痛みが生じて鎮痛剤を探し回る……これこそが最大のタイムロスです。
特に日本では「歯は保険で何とかなる」と思われがちですが、予約が取りにくいのに通院回数が多く仕事を休む必要が出る、性能・材質・見た目の良さや専門医による治療の精確性を求めると、保険の範囲ではできないという“隠れコスト”が発生します。
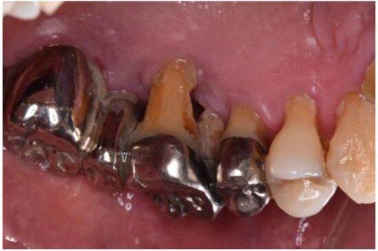
保険診療のクオリティは、やはり自費診療には敵わず、銀歯の下でむし歯が再発する「二次カリエス」のリスクや、見た目年齢への影響もあります。
海外では、保険診療という概念がないため、日本の銀歯は不思議がられることも多いです。時間コスト・再治療コスト・見た目の損失が大きいという難点があるのです。
しかし、自費診療がかさむとお財布事情として現実的に厳しくなるため、安上がりに済む保険診療が選択されることが多いのです。
1本30~50万ほどのインプラントと、自費診療だとしても2万円以下のメインテナンスでは、金額が大きく異なりますよね。
また、歯周病が進行すれば、糖尿病・心疾患・認知症リスクや、高血圧・肥満などの生活習慣病リスクまで上がり、結果として歯以外の医療費も雪だるま式に増えるのです。
例えば、歯周病がある人とない人の3.5年を比較した研究では、全身疾患リスクが増えることから、健康な人の医療費よりも約20%医療費が高いこともわかっています。
さらに男性にとって見過ごせないのが「下半身」への影響です。実は、歯周病菌が血管を傷つけることで、ED(勃起不全)のリスクを高めるという研究結果もあります。男としての自信を守るためにも口元のケアは必須なのです。
歯は身体の入り口であるため、様々な病気との関連が多いです。そのため歯が健康か不健康かで、生涯にかかる医療費は数百万異なってくると言われています。
見た目の「歯」は、想像以上に年収を左右する
このとき、体型や服装と同じくらい判断基準に入ってくるのが口元です。
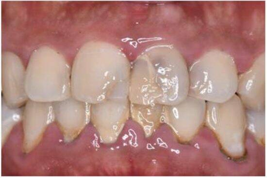
・黄ばんだ歯
・歯並びの乱れ
・口臭
・歯が欠けている
・歯茎が不健康
これらはすべて「だらしない」「自己管理ができない」という印象につながります。営業、接客、管理職、メディアに出る仕事ほど、口元の印象=評価と言っても過言ではありません。
歯の管理が行き届いている人は
・若く見える
・健康そう
・余裕がある
・清潔感がある
・信頼できる
という印象を与え、結果としてチャンス・役職・収入を得やすい傾向があります。
例えば、営業に来た人が口臭が強く、黄ばんだ歯に、不健康な赤黒い歯茎だったらみなさんはその商品やサービスを取り入れようとはなかなか思えないはずです。人は、7秒以内に、この人から買うかを無意識に決めているからだと言われています。
オンライン会議でも、画面越しの会話では、顔のアップが映るため、対面以上に口元が目立ち、無意識のネガティブ評価につながります。上司の口が臭いだけで、部下の報告・連絡・相談の頻度が下がり、マネジメントに支障が出るということもあるでしょう。ビジネス現場での「口臭」は、もはや「スメルハラスメント」なのです。
また、アメリカなど海外では、歯が汚い=プロ意識がないという評価につながってしまうため、グローバルなビジネスシーンでは、より歯が重要といえます。
歯を失うと「働ける年数」そのものが減る
歯のトラブルは、単なる見た目や医療費だけでは終わりません。
しっかりと噛めないと、お食事の内容が偏ることで栄養に偏りが出ます。バランス良く栄養が摂れないと体力が落ち、集中力や判断力が落ちます。栄養バランスの偏りは、身体全体の健康に影響します。これは高齢者だけの話ではなく、40~50代から始まります。
こうした影響から、むし歯や歯周病が重い人ほど、疲れやすくなり仕事のパフォーマンスが落ちる、病欠が増え、長く・元気に働けないのです。
貧乏になる人ほど「歯を後回し」にする悪循環
「忙しいから」「今は痛くないから」「お金がもったいないから」…
しかし実際には、後回しにするほど、時間もお金も奪われるのが歯科治療です。
例えば、定期検診のかかる費用は年間で数万円程度です。しかし、それを惜しんで放置した結果、インプラントが必要になれば1本で数十万円が飛びます。さらに、その治療のために有給休暇を消費し、仕事のパフォーマンスが落ちるとすれば経済的損失は計り知れません。ましてや、顎の骨の状態によっては、インプラントすら適用とならない場合もあります。歯のケアはS&P500に投資するよりも確実で高利回りな『自己投資』なのです。
予防にお金と時間を使える人ほど医療費が少なく、見た目の評価が高く、長く働ける結果として、経済的にも安定します。
歯は「消耗品」ではなく「人生のインフラ(基盤)」
正しい歯磨き、フロス・歯間ブラシ、定期検診。これだけで、将来の医療費・見た目・年収の差は確実に広がります。歯のケアは、ホワイトニングや高級治療の話だけではありません。どうしても忙しい人は、まずは寝る前のフロスや高濃度フッ素(歯磨き粉)だけでも習慣にしてください。
歯は毎日使う「消耗品」ではなく、人生を支えるインフラ(基盤)です。
歯を雑に扱う人が、お金・健康・評価を失っていくのは、ある意味とても自然なことなのかもしれません。
<文/野尻真里>
【野尻真里】
一般診療と訪問診療を行いながら、予防歯科の啓発・普及に取り組んでいる歯科医師です。「一生涯、生まれ持った自分の歯で健康にかつ笑顔で暮らせる社会の実現」を目標にメディアで発信をしています。X(旧Twitter):@nojirimari
![LDK (エル・ディー・ケー) 2024年10月号 [雑誌]](https://m.media-amazon.com/images/I/61-wQA+eveL._SL500_.jpg)
![Casa BRUTUS(カーサ ブルータス) 2024年 10月号[日本のBESTデザインホテル100]](https://m.media-amazon.com/images/I/31FtYkIUPEL._SL500_.jpg)
![LDK (エル・ディー・ケー) 2024年9月号 [雑誌]](https://m.media-amazon.com/images/I/51W6QgeZ2hL._SL500_.jpg)




![シービージャパン(CB JAPAN) ステンレスマグ [真空断熱 2層構造 460ml] + インナーカップ [食洗機対応 380ml] セット モカ ゴーマグカップセットM コンビニ コーヒーカップ CAFE GOMUG](https://m.media-amazon.com/images/I/31sVcj+-HCL._SL500_.jpg)



