あなたは大丈夫? 唾液力低下サイン
①朝起きた時に口がねばついて不快②乾いた食べ物(パン、クッキーなど)をよく食べている
③会議中など話し続けると喉が詰まった感じがする
④気づくと無意識に口がポカンとあいている
⑤1日にコーヒーを3杯以上飲む
唾液は、口の中を潤すだけではありません。食べかすや糖を洗い流し、細菌が作る酸を中和し、むし歯や歯周病、口臭リスクを下げる“天然の防御機能”でもあります。口が乾く状態が続くと、こうした防御が弱まるため、男の老けや口臭予防には「唾液」は不可欠なのです。
しかし、現代の働く男性の口内はカラカラに乾いています。良かれと思ってやっている日常の習慣が、実は「最強のアンチエイジング液=唾液」を奪っているとしたら?
今回は、3つの悪習慣について説明します。
悪習慣①:水代わりに「コーヒー・エナジードリンク」を飲む
「朝からコーヒーを何杯も飲む」「眠気覚ましにエナドリが習慣」という人は、知らないうちに口の乾燥を助長している可能性があるのです。
特に問題なのは、“水分を取っているつもりで、実は口の中が乾いている”という状態です。カフェインや酸味の強い飲料、糖分の多い飲料に偏ると、一時的な満足感は得られても、口の中の快適さが落ちやすいです。
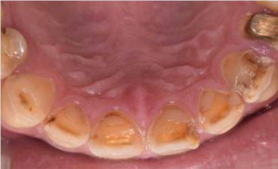
エナジードリンクやスポーツ飲料には糖分が多く、唾液が減った口内ではむし歯・歯周病リスクがさらに高まります。さらに、こうした飲み物は「口が乾きやすくなる」だけでなく、「歯そのものを溶かしやすい環境」をつくることもあります。むし歯菌によるものではなく、飲食物などの酸によって歯の表面が少しずつ溶けていく状態を「酸蝕歯(さんしょくし)」と言います。
酸蝕歯が進むことで歯に見られる変化には次のようなものがあります。
・歯がしみる
・歯の表面がツヤっと薄く見える
・歯の先端が透けたように見える
・以前より歯が丸く、小さく見える
酸性飲料を完全にやめる必要はないですが、だらだら飲みや毎日の摂取は避けること、摂取後は水で口を流すこと、飲んだ直後に強く磨きすぎないことが、酸蝕歯対策として重要です。特に、「健康のためにスポーツドリンクを飲んでいる」「眠気覚ましにエナドリが欠かせない」「ブラックコーヒーを一日中ちびちび飲んでいる」という人ほど要注意です。
健康のために習慣にしている「お酢(黒酢・りんご酢)」や、ジムでの「スポーツ飲料」、仕事の合間の「炭酸水(レモン入り)」なども、実は酸性が強く、だらだらと飲むと歯を溶かすリスクがあります。コーヒーは、それ自体が悪いわけではなく、利尿作用のあるものを、水の代わりにずっと飲んでいることが良くありません。カフェイン飲料を飲んだら、同量の「水」をこまめに飲むことを心掛けましょう。
つまり、“毎日飲んでいるアレ”が、口臭だけでなく、歯の見た目までじわじわ老けさせている可能性があるのです。
悪習慣②:スマホ首・猫背が招く「無意識の口呼吸」
その背景にあるのが、スマホ首や猫背による姿勢の崩れです。本来、鼻呼吸をするためには口が自然に閉じ、舌が正しい位置にあることが大切になります。しかし、首が前に出た姿勢になると、あごの位置がずれ、舌も下がりやすくなります。
では、正しい舌の位置とはどこでしょうか。理想は、「口を閉じているときに、舌の先が上の前歯の付け根の少し後ろ(スポット)にピタッと吸い付いている状態」です。舌が落ちている(低位舌)と、口呼吸を誘発し、顔のたるみにも直結します。
また、姿勢の悪さから気道が圧迫されて口呼吸をしていることもあります。しかも本人には自覚がないことが多いため、仕事中、スマホを見ているとき、運転中など、“無意識に口が開いている時間”が長い人ほど要注意なのです。
口呼吸が続くと、口の中が乾燥しやすくなり、唾液による自浄作用(口の中を洗い流す働き)が低下します。そのことから、口臭やむし歯、歯周病などのリスクも高まりやすくなります。つまり、姿勢の崩れは、見た目だけでなく「口の清潔感」まで下げてしまう可能性があるのです。
さらに口呼吸は、口元の筋肉をうまく使えない状態にもつながり、フェイスラインの崩れや二重顎の一因になることもあります。鼻のフィルターを通さずに、空気が直接喉に触れ、細菌がダイレクトに喉に入るため、風邪をひきやすくもなってしまいます。
デスクワーク中は数十分置きにストレッチや姿勢リセットを行いましょう。
悪習慣③:ストレス社会の弊害「早食い」と「交感神経の過緊張」
忙しい現代人の“唾液力低下”を語るうえで、見逃せないのが「早食い」と「ストレス」です。例えば、昼休みは牛丼や立ち食いそばを5分でかき込み、午後も仕事のプレッシャーに追われる――。そんな生活に心当たりのある人は少なくないのではないでしょうか。一見、口の乾燥とは関係なさそうに見えますが、実はこの習慣こそが、唾液の質と量の両方を落とす原因になっています。まず、早食いは唾液分泌にとって不利です。唾液は「噛む」という刺激によって分泌が促されます。つまり、柔らかいものを短時間で飲み込むような食べ方では、唾液腺が十分に刺激されず、唾液が出にくくなるのです。そこにストレスが重なるとさらに厄介です。
私たちの体は、緊張やプレッシャーを感じると交感神経が優位になりやすいです。この状態で口の中に出てくる唾液はサラサラした唾液ではなく、ネバネバした少量の唾液になりやすいとされています。そのことによって、
・口の中がネバつく
・食べかすや細菌が洗い流されにくい
・口臭が強くなる
・むし歯や歯周病のリスクが上がる
といった悪循環に陥りやすいのです。
つまり、「噛まない食事」と「緊張しっぱなしの生活」は、気づかないうちに唾液力を奪っていく組み合わせなのです。
今日からできる対策は「噛む」と「ゆるめる」です。
まずは、一口ごとによく噛むことです。理想は「一口30回」と言われいますが、食品によっては難しいものもありますし、急にハードルが上がってしまいます。まずは、今より5~10回噛む回数を増やすだけでも、唾液腺への刺激は変わってきます。
また、水分補給をマメに行うのはもちろん、食後や仕事の合間などに、キシリトールガムなどを噛む習慣を取り入れるのも一つの方法だと思います。噛む刺激は唾液分泌を促し、口の乾き対策にもつながります。
噛むこと以外に、耳の前下(耳下腺)や顎の下(顎下腺)を指でクルクルと優しくマッサージをするだけで、じわっと唾液が出てきます。大事なプレゼン前やデート前の口臭対策として有効です。
また、副交感神経が働きやすい状態をつくることも対策になります。
・深呼吸をする
・食事中にスマホを見ない
・時間がある日は急いで食べない
・休憩中に肩や首の力を抜く、ストレッチをする
・帰宅後はリラックスして過ごす
こうした小さな習慣でも、唾液の出方は変わってきます。唾液力を守るために、緊張しすぎない状態を取り戻すこともまた、重要なのです。
唾液は「タダで出せる最高の美容液&薬」
口臭、ネバつき、むし歯、歯周病、酸蝕歯――。しかも、その原因は特別な病気ではなく、毎日の飲み物、ストレス、早食い、噛まない食生活といった、ごくありふれた生活習慣に潜んでいます。逆に言えば、この3つの悪習慣を見直すだけでも、口の中の環境は変わるかもしれません。日ごろの些細な工夫こそが、唾液の力を取り戻す第一歩になるかもしれません。
唾液はもちろんタダですが、高価な美容液のようなものです。口の中を潤し、守り、若々しく清潔に保つための防御システムが唾液なのです。
そしてこの「唾液力」を守ることは、単に口臭やむし歯を防ぐだけではありません。将来的な医療費の削減にもつながり、さらに、ビジネスマンとしての清潔感や第一印象、評価やモテにもつながります。
今日からできることからはじめてみてください。その小さな習慣が、数年後の口元と印象を大きく変えていくかもしれません。
<文/野尻真里>
【野尻真里】
一般診療と訪問診療を行いながら、予防歯科の啓発・普及に取り組んでいる歯科医師です。「一生涯、生まれ持った自分の歯で健康にかつ笑顔で暮らせる社会の実現」を目標にメディアで発信をしています。
![LDK (エル・ディー・ケー) 2024年10月号 [雑誌]](https://m.media-amazon.com/images/I/61-wQA+eveL._SL500_.jpg)
![Casa BRUTUS(カーサ ブルータス) 2024年 10月号[日本のBESTデザインホテル100]](https://m.media-amazon.com/images/I/31FtYkIUPEL._SL500_.jpg)
![LDK (エル・ディー・ケー) 2024年9月号 [雑誌]](https://m.media-amazon.com/images/I/51W6QgeZ2hL._SL500_.jpg)




![シービージャパン(CB JAPAN) ステンレスマグ [真空断熱 2層構造 460ml] + インナーカップ [食洗機対応 380ml] セット モカ ゴーマグカップセットM コンビニ コーヒーカップ CAFE GOMUG](https://m.media-amazon.com/images/I/31sVcj+-HCL._SL500_.jpg)



