「“唾液力”の低下が地味な不調の原因に。歯科医が指摘する3つの悪習慣」の画像
前へ 次へ
3/4
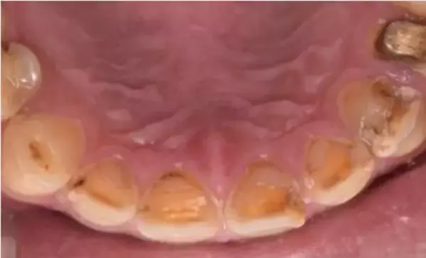
酸蝕歯で全体的に歯が溶けて、むし歯もみられる
本文へもどる
「“唾液力”の低下が地味な不調の原因に。歯科医が指摘する3つの悪習慣」の画像1 「“唾液力”の低下が地味な不調の原因に。歯科医が指摘する3つの悪習慣」の画像2 「“唾液力”の低下が地味な不調の原因に。歯科医が指摘する3つの悪習慣」の画像3 「“唾液力”の低下が地味な不調の原因に。歯科医が指摘する3つの悪習慣」の画像4