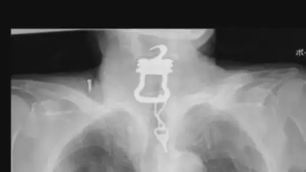
2022年、大阪市内の病院に入院していた男性(当時82)の喉から12センチの「カギ」が見つかりその後...

記事全文(外部ページを表示します)

編集部おすすめ