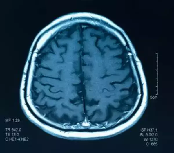
目覚ましい進歩を続けるAI(人工知能)。人が見たり聞いたりしたものを、AIが脳から再現する研究がいま...

記事全文(外部ページを表示します)

編集部おすすめ